This category of article is centred around understanding cancer as a disease and learning what can be done to outlive it. The goal of these is to make knowledge from leading-edge cancer research available to everyone.
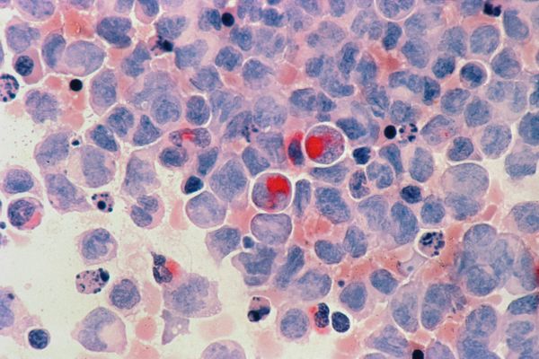
4 months of treatment with a pharmaceutical plan formulated to suppress IL-6 over-expression in one patient has shown first success. Continuation and reproducibility of the effect remain to be seen.
Merlin L. Marquard
This category of article is centred around understanding human nutrition and how what we consume affects our metabolism and health. The goal of these is to make knowledge from cell biology, nutrition, and metabolism research available to everyone.
Standard-of-care for most cancers has remained largely stagnant and is commonly faced with the issues of severe side effects and recurrence. A holistic approach to integrative therapy can be used to make up for these shortcomings.
Cedric L. Marquard
This category of article is centred around providing a brief overview over a very specific topic, like a single nutrient, a cellular structure, or biological component. The goal of these is to summarise various information from research and communicate it in a laymen-friendly way.
Standard-of-care for most cancers has remained largely stagnant and is commonly faced with the issues of severe side effects and recurrence. A holistic approach to integrative therapy can be used to make up for these shortcomings.
Cedric L. Marquard
This category of article is centred around diving deep into a specific intersection between cancer, metabolism, other diseases, and much more. The goal of these is to synthesise the knowledge from various sources to paint a complete picture of the topic.
This category of article is centred around understanding the immune system and how it intersects with other bodily systems and diseases like cancer. The goal of these is to make leading-edge immunology and cell biology research available to everyone.
This category of article takes a single or a few related articles from scientific literature and breaks them down into laymen-friendly terms. The goal of these is to make primary research literature and secondary review literature broadly accessible.
This category of article is centred around understanding mitochondria and how they intersect with metabolism and multicellularity. The goal of these is to make knowledge from leading-edge cell biology and evolutionary biology available to everyone.
This category of article is centred around more conceptual explorations and though experiments around certain topics intersecting with cancer, metabolism, and disease. The goal of these is give a balanced, holistic perspective on an interesting topic.
This category of article is centred around telling the story of people or groups of people as they grapple with cancer or other diseases. The goal of these is to show other patients, that they are indeed not alone in their trials and tribulation.
4 months of treatment with a pharmaceutical plan formulated to suppress IL-6 over-expression in one patient has shown first success. Continuation and reproducibility of the effect remain to be seen.
Merlin L. Marquard
This group of articles is written by to deepen our understanding of complex fields within and adjacent to cancer biology, develop new treatment options, or give more niche topics consideration. They aren't necessary for outliving cancer.
4 months of treatment with a pharmaceutical plan formulated to suppress IL-6 over-expression in one patient has shown first success. Continuation and reproducibility of the effect remain to be seen.
Merlin L. Marquard
This category of article is centred around understanding the human mind and how its movements and ails intersect with disease. The goal of these is to make knowledge from leading-edge psychology and neurology research available to everyone.
This is where we post updates to what we're doing. This includes the more impactful behind-the-scences changes to Marchward and our efforts.
This category of article is centred around the exploration of how the political and scientific establishment influence each other. The goal of these is to lay bare wrongful 'scientific' education of political zealots, as well as scientists with glaring conflicts of interest.
This category of articles details the development of recipes or simply recounts them for you to use.
This category of article is centred around understanding genomes, how they operate and how they intersect with metabolism, mitochondria, and cancer as a disease. The goal of these is to make knowledge from leading-edge cancer research available to everyone.